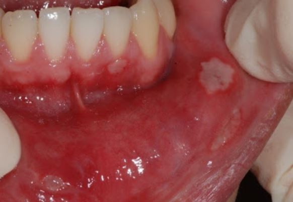
하 얼마 전 밥을 먹다가 볼따구 안쪽을 씹어버렸어요. 처음에는 씹은 부위만 살짝 아픈 정도? 피가 살짝 나는 정도였는데, 얘가 점점 구내염으로 발전하더라구요.
내가 이럴 줄 알았지...때론 술을 며칠 내내 마시면 생기기도 하고, 때론 잠을 잘 못잘 때 생기기도 하는 구내염. 대부분의 분들은 피로나 스트레스때문에 생기는 아프타성 구내염이 생깁니다. 이름부터 아파보여

흔히들 이렇게 말하죠. '너 입안에 흰거 났다' 그 흰거가 아프타성 구내염입니다. 진짜 짧으면 5일, 길면 2주간 아파가지고 밥먹을 때 혹은 음료수를 마실 때마다 통증을 줍니다.
그 통증은 너무 아프고 짜증나가지고, 밥먹다가 소리지르고 싶을 정도에요. 없던 분노조절장애가 생긴다니까?? 아플 때마다 인터넷에서 구내염 빨리 낫는 법 없나를 찾게됩니다. 아픈건 아픈거고 이게 핵심이죠.
오늘 포스팅에서는 제가 구내염을 빨리 낫기 위해 했던 여러가지 방법들을 소개해드리려고합니다.
1. 악마에게 영혼을 판다. 알보칠

첫 번째로 아 입안에 뭐 났어 jonna 아파 했을 때 사람들이 가장 먼저 제시하는 해법 중 하나, 알보칠입니다.
악마에게 영혼을 파는 약으로 알려져있죠. 워낙 유명해서 자는 사람 입에 바르는 몰카 유튜브도 엄청 많아요. 얼마나 아프면 가격은 약 6500~7000원이구요.
주 성분은 폴리크레줄렌이란 성분으로 향진균작용과 손상조직을 제거해주는 효과가 있어요.
보통 혓바늘이나 감염성 증상이 있을 때 사용하는데요.
모르고 바르면 진짜 Jonna 아픕니다. 추후 아파야할 구내염의 고통들을 일시불로 받는 느낌이에요. 원래는 할부로 조금씩 아팠는데(그게 할부였나?), 그 모든 고통 이번에 몰아서 받겠다! 이런 느낌이죠.
볼따구 안쪽 구내염에 바르실 경우 물과 1:5 비율로 살짝 희석해서 사용해주면 되구요.
면봉을 이용하여 알보칠 성분을 상처부위에 발라주세요. 효과를 제대로 보려면 약이 마를 때까지 기다려야돼요. 보통 바로 입을 다물어버리면 침이 묻어서 약이 흩어져버리거든요.
한 10초 정도 기다리시면 상처 부위가 하얗게 변합니다. 그 뒤부터는 침 마구 삼키셔도 돼요.
아직 흰색 상처가 크지 않을 때(초기) 효과가 제일 좋구요. 벌어질 때로 벌어져버렸으면 알보칠을 사용하기에 늦어버린거임. 이 때는 알보칠을 발라도 무뎌지려는 상처가 더 벌어지기만 해요.
만약 침샘 근처에 상처가 났다??? 오라메디로 갑시다.
통증이 어마어마하고, 구내염 초기에 사용할 때만 좋은 알보칠
2. 어릴 때부터 사용한 약, 오라메디

알보칠이 쎈 수학이라면, 오라메디는 수학의 정석 느낌입니다. 제일 유명하죠!
정말 구내염을 위해 덜 매운 맛으로 나온 연고 제형의 약이죠. 어릴 때부터 발라도 크게 아프지 않아 자주 애용하는 약인데요. 가격은 4000~6000원으로 약국마다 다양합니다.
주 성분은 트리암시놀론이고, 항염작용과 면역반응을 억제해주는 효과가 있어요.
냄새는 딱히 없고, 맛도 딱히 없는 무맛이에요. 그냥 입 안을 텁텁하게, 메마르게 할 뿐이구요. 스테로이드제라서 효과가 진짜 빨라요.
구내염은 입술 안쪽 뿐만아니라 혀 밑이나 어금니 안쪽 잇몸에도 많이 생기잖아요. 여기는 진짜 침이 줄줄 나와가지고 알보칠 바르면 침에 바로 희석되는데, 그럴 때 오라메디를 발라주는거죠~
물론 발라놔도 몇분 뒤면 약이 조금씩 녹아내려가지만 연고라서 액체인 알보칠보다는 오래 버텨요.
초기에 발라도 효과가 좋구요. 좀 커져서 '아니 미친 좀 나아라 왜 안낫지? 나을 때가 됐는데'싶을 때 발라도 효과가 좋아요. 생각보다 큰 구내염도 일주일 만에 나을 거 4일만에 낫기도 했습니다.
혀에 하얀 염증이 생겼을 때 빨리 낫는 법 :: 오라메디
혀에 하얀 염증이 생겼을 때 빨리 낫는 법 :: 오라메디
안녕하세요 Jista입니다. 오늘은 혀에 하얀 염증이 생겼을 때 빨리 낫는 법을 알려드리려구 해요 ㅠㅠ 이걸 소개하는 이유는 제가 이번에 염증들이 생겼거든요.. 혀를 씹어서도 생기지만 잠을 적�
jista.tistory.com
위는 과거 제 경험담을 담은 포스팅인데요. 약이 금방금방 날아가기때문에 생각날 때마다 꾸준히 발라줘야해요. 저는 집에 있을 때 한 번씩 아프면 꼭 발라줬어요. 생각날 때마다 바르기만해도 충분하더라구요.
효과가 매우 좋기 때문에 강력 추천하는 약입니다.
통증은 별로 없고, 효과는 좋은 오라메디
3. 진통효과가 있는 약, 아프니벤큐액

제가 알기로 구내염 약 중에서 진통효과가 있는 유일한 약이에요. 현재는 다른 진통약들도 나왔을 수 있음
치과에 가서 너무너무 아프니까 안아프게 해주세요 하면 추천하는 약인데, 신동엽 선생님이 광고하시죠 ㅎㅎ
가글처럼 보글보글 입에 거품내서 사용하는 타입이구요.
주 성분은 디크노페낙으로 구내염 치료 및 통증 완화의 효과가 있습니다.

가글액이기 때문에 1포 1포 따로 포장되어있고 9포가 들어있어요. 휴대성이 좋아 어딜 자꾸 돌아다니셔야한다면 들고다니기 좋죠. 가격이 좀 사악한데 아프니벤큐액은 8000원에 구매할 수 있습니다. 9번 사용할 수 있는데 확실히 비싸죠? 앞의 약들은 진짜 2년도 쓸 수 있는 양이거든요.
그에 비해 구내염이 낫는 속도가 빠르냐?? 그건 또 아니었던 것 같아요. 확실히 아픔은 줄어드는데 빨리 낫는다는 생각이 안들더라구요. 그냥 아플 때 통증만 확 줄어드는 정도에요. 결국 오래 아프니까 쌤쌤이라는 생각이 들어서 추천드리지는 않습니다. 집에만 있는 분들은 확실히 빨리 낫는 알보칠이나 오라메디를 더 추천드려요.
통증을 완화해주나 구내염 치료에는 효과를 못 본 아프니벤큐액
결론적으로 오라메디가 저에게 가장 잘 맞았어요. 언제 사용해도 효과가 좋았구요.
구내염 초기에 확실히 약을 쓸 생각이 있으시다면 알보칠도 괜찮은 것 같습니다.
아프니벤큐액은 입 안에 염증이 정말 어마어마한 숫자로 생겼다 싶을 때 쓰세요. 웬만하면 추천드리지 않습니다. 통증 완화로는 좋지만 저희는 빨리 낫는 것이 목적이잖아요.
오늘 준비한 포스팅은 여기까지구요. 시중에는 더 많은 약들이 있지만, 다 써보지는 못했네요. 이미 오라메디를 접한 순간부터 다른 약은 눈에 안보였거든요ㅎㅎㅎㅎ
궁금한 점 있으시면 댓글 달아주세요! 다음에도 좋은 정보 들고오도록 하겠습니다~
'알아둬야할 생활 정보' 카테고리의 다른 글
| 조의금 봉투 쓰는 법 잘못쓰면 찍히기 십상 (0) | 2020.06.07 |
|---|---|
| 카카오팟PD 엄준식 과연 어떤 뜻으로 사용되나? (0) | 2020.05.26 |
| 지식인에 올라온 초등학교 방학숙제로 미래에는 배터리 교체가 된다?! (0) | 2020.05.07 |
| [유머] 부부의세계 이태오가 유튜브를 한다면? (0) | 2020.05.06 |
| 여자친구가 생리를 안해요, 생리 안하는 이유:: 다이소 임테기 원포 임신테스트기 리뷰 (0) | 2019.04.13 |